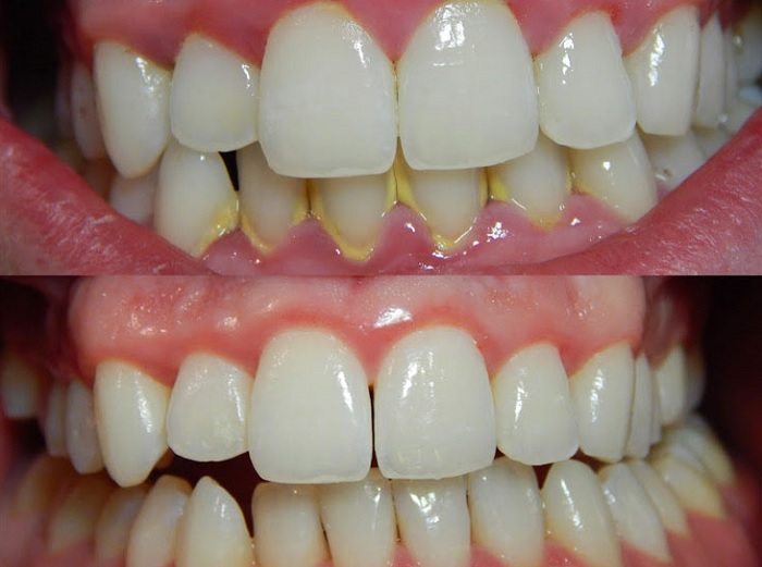
Evde Tartar Lekelerinden Nasıl Kurtulursunuz?

Ağız sağlığınızı korumak için yapabileceğiniz diğer işlemler Düzenli olarak diş ipi kullanın. Acı tüketerek salya üretimini arttırın ve ağzınızı daha temiz tutun. Uyumadan önce ağzınızı portakal ile ovun ve bakteri oluşumunu engelleyin.Dişinizi fırçalarken yumuşak bir fırça kullanın, nazik davranın ve dikey hareketler yapmaya özen gösterin. Diş aralarını ve diş etlerini temizlemeyi ihmal etmeyin.