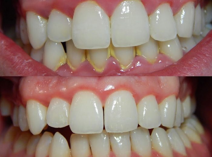
Evde Tartar Lekelerinden Nasıl Kurtulursunuz?
Skip Ad
10
seconds left
Diğer Tarifler
Yaşam
Yüz Şeklimizi Bozduğunu Bilmeden Hepimiz Bal Gibi Yiyoruz
Yaşam
Stresli Zamanlarda Uykusuzluğa Ne İyi Gelir
Yaşam
Karaciğer Yağlanmasından Kurtulun
Yaşam
Bu Belirtiler Varsa Vücutta İltihap Var Demektir
Yaşam
Gözaltı torbaları nasıl geçer
Yaşam
Bağırsak Sorununu Kökünden Çözüyor
Yaşam
Menopoz Dönemi Kemik Erimesini Engelleyen Kür
Yaşam
Gece Susuzluktan Uykunuz Bölünüyorsa İşte Asıl Sebebi
Yaşam
Yağları En Hızlı Yakan Su
Yaşam
Gluten Duyarlılığınızın Olduğunun 9 Belirtisi
Yaşam
Hepsinin Bir Anlamı Var Hangi Hastalıkların Belirtisi
Yaşam
Sabahları 4 Kaşık Yemek Yetiyor Kolesterolü Bitiriyor
Homepage
Yaşam
Kurabiye Tarifleri
Atıştırmalıklar
Meze Tarifleri
Zeytinyağlılar
Balık Tarifleri
Çorba Tarifleri
Et Tarifleri
Hamur İşi Tarifleri
Börek Tarifleri
Kek Tarifleri
Pizza Tarifleri
Makarna Tarifleri
Diyet Yemekleri
Pilav Tarifleri
Tavuk Tarifleri
Sebze Tarifleri
Poğaça Tarifleri
Tatlı Tarifleri
Kahvaltılık Tarifleri
Reçel Tarifleri
Salata Tarifleri
Turşu Tarifleri
Contact Us
Desktop View